
Ketamine: Abused Drug or Medical Miracle
When the synthetic drug Ketamine first was synthesized it was mainly used on animals as an anesthetic. The reason it is used on animals is that it was found to have hallucinogenic effects on humans. Today ketamine is mainly used on humans by medical teams in small doses as an anesthetic, however it does have other uses in the medical field. As with many other synthetic drugs that can cause hallucinations, it has become popular for recreational use. I have seen ketamine used in different settings and I can’t help but wonder. Can Ketamine be used in a medical setting? When ketamine is abused what does do to the brain?
- How Ketamine Was Created
Ketamine was synthesized from a chemical compound known as phencyclidine, this compound was previously tested on humans to treat schizophrenia. After more clinical studies “it became clear that phencyclidine was not suitable for human anesthesia” (Domino 679), because it caused hallucinations. Cal Bratton, M.D., Ph.D., Head of Pharmaceutical Research at Parke Davis stated that he “was convinced that a short-acting derivative would be useful” (Domino 679). Bratton consulted Calvin Lee Stevens on the matter after discussing with each other they decided to synthesize derivatives of phencyclidine. One of these compounds was known as CI-581, this compound was later named Ketamine. Trials on animals went well and soon began trials on humans. It was observed during human testing that ketamine worked extremely well for anesthesia and with little to no side effects. Edward F. Domino, M.D. helped with clinical trials of ketamine, after much research he and his colleagues decided it was time to publish their findings. “I mentioned that the subjects were “disconnected” from their environment. Toni came up with the term “dissociative anesthetic” (Domino 680). Ketamine is known as a dissociative anesthetic, this means that the user is generally “not all there” when they return from the anesthetic state. Today, the world knows ketamine as a medication that vets use on animals to put them to sleep for surgeries. As you can see the scientist who created ketamine had a completely different use in mind. They were searching for a cure to schizophrenia, they never imagined what it would become today.
- Medical Uses of Ketamine
Ketamine research for various mental disorders has been done extensively. In almost all these cases it has shown that Ketamine has a profound effect on the brain when administered properly. The main mental disorder ketamine has been used to treat is depression. Research has demonstrated “improvement in 12 of 15 depressed patients (79%), which was maintained for 14 days” (Kraus, 7). Overall when used to treat depression ketamine shown very promising signs, “clinical trials demonstrate that … ketamine is highly effective and rapid acting” (Kraus, 8). Kraus states that “in comparison with other treatments … ketamine is less invasive … ketamine does not need supervision by an anesthetist and can be performed in a controlled outpatient setting” (9). Ketamine can also be used to treat severe pain.
The following information is based off findings from various hospital emergency departments. These hospitals include Alameda Health System, Highland Hospital and some research done at University of California, San Francisco, California. Terence L Ahern MD states that in his studies of ketamine for pain “38 patients were included with a median initial numerical rating scale pain score 9 of 10. At 10 minutes, the median reduction in pain score was 4” (1402). (see table 1).
Table 1
This table shows pain rating of Emergancy Room patients from initial to 10 minutes to 60 minutes of treatment
Source: Low-Dose Ketamine Infusion for Emergency Department Patients with Severe Pain: Pain Medicine, vol. 16, no. 7, July 2015, table 1.
The ketamine was administered via IV most of the people who used it as a pain treatment were asked; “Would you have this medication again for similar pain? … (84%) responded they would have ketamine again” (Ahern 1403-1404). As with all drugs ketamine does have side effects. The more common side effects are dizziness, blurred vision, nausea and poor concentration (see fig. 1).

Fig. 1. Side effects of ketamine administration on infusion day and post infusion in percent from Murrough et al.; “Administration of ketamine for unipolar and bipolar depression”; International Journal of Psychiatry in Clinical Practice; pp. 7.
As you can see from the chart above, the side effects are mild and uncommon. From my research I have learned that Ketamine can be extremely beneficial if used properly. It has effects on the brain and the body in positive ways, without major and long lasted side effects.
- Recreational Use and Effects of Ketamine
Ketamine has a very large spike in recreational use recently due to the rise of club and rave cultures. Use is ketamine varies widely from person to person. Infrequent users generally use it while going to clubs, raves and other parties. Frequent users say they use it daily in ranges of one half to 3 grams. When someone is on ketamine the user feels disassociated from the world. I’ve have seen people on large dosages of ketamine (1-3grams) from what I can see the person would seem very confused on to what was going on around him. He could not hold a conversation, let alone a thought for more then a few seconds. The user would periodically “come back to reality” and be fully conscious, but this would last a max of 20 seconds. They would suddenly drift back into their disassociated state. After about 20 minutes they would be fully conscious again and able to hold conversation, but still slightly in their ketamine high. They would talk slow and slur their words.
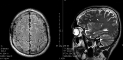
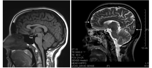
The brain is heavily affected by prolonged ketamine use, in most cases it destroys multiple regions of the brain. According to Chunmei Wang of the Brain Research Center, Institute of Chinese Medicine “the brain regions affected were prefrontal, parietal, occipital, limbic, brainstem and corpus striatum. The lesions affected both the gray and white matter” (5). (see fig. 2).

Fig. 2. The left shows a normal brain with no drug abuse. The right is an addicts’ brain who has done a half gram of ketamine each day for seven years. You can see that some sections of the brain almost looked smashed or caved in, this is where it has deteriorated from the usage of ketamine from Chunmei Wang et al.; “Brain damages in ketamine addicts as revealed by magnetic resonance imaging”; Frontiers in Neuroanatomy, vol. 7, no. 23, 2013; pp. 1-6
According to the report In and out of the K-hole: a comparison of the acute and residual effects of ketamine in frequent and infrequent ketamine users ketamine has a major effect on cognitive ability when abused. The research in this article includes different assessments that test areas of cognitive ability, there was a total of 37 participants. 18 of them were frequent users and 19 were infrequent. The assessment was done on the day of the usage and 3 days later. In all cases those who used ketamine frequently (about 20 times a month) scored much lower on the test then those who used it infrequently (once every two months). These assessments tested areas such as memory, speed of comprehension and verbal fluency. The memory assessment showed that “following an acute dose both groups scored similarly; however, on day 3, frequent users were still highly impaired” (Curran and Monaghan, 754). For the speed of comprehension assessment Curran and Monaghan states “this task, reflecting poorer performance on both test days by the frequent users” (755). The group of infrequent users performed much better on both days. Verbal Fluency, the last assessment showed similar results to the speed of comprehension test. These tests prove that frequently using ketamine will impact the user on a larger scale for much longer.
- Conclusion
Ketamine can be used in a variety of ways both medical and recreational. There are great benefits to use ketamine in a medical setting and while having very little side effects. Ketamine can be used to treat mental disorders such as depression and be used to treat pain. However, ketamine can be abused in recreational settings. Therefore, ketamine is a schedule III drug in America, it has potential for abuse but still have medical use potential. Although it has medical uses ketamine is still illegal in the United States. When ketamine is abused, it damages the brain and causes severe cognitive disability. These negative effects are long lasting and in cases of the brain deterioration cannot be reversed.
Works Cited
Ahern, Terence L., et al. “Low-Dose Ketamine Infusion for Emergency Department Patients with Severe Pain.” Pain Medicine, vol. 16, no. 7, July 2015, pp. 1402–1409. EBSCOhost, doi:10.1111/pme.12705.
This article is based on a clinical research study of the use of ketamine for severe pain. In this study a total of 38 people were administered ketamine in small doses for various sources of pain. After 120 minutes the people were asked to rate their pain and if they would take it again. In most cases their pain was significantly lower, and 32 people said they would take it again for similar pain. I will use this in my report to show that ketamine can be used for more treatment of pain as well as depression. This is a very reliable source as the information is derived directly from test that were administered by the doctors who wrote the article.
Domino, Edward F. “Taming the Ketamine Tiger.” Anesthesiology, 2010, pp. 678–680.
This article explains how ketamine came to be. It teaches you that ketamine was derived from phencyclidine. Its purpose was to be used on humans for anesthesia, although today it is mostly used in veterinary clinics for that purpose. I am using this is my report to give a background on how ketamine came to be, I feel to understand this drug you need to know why it was created. The source is a first-hand experience from the man who created it, his name is Edward F. Domino M.D. PHD, was a Professor of Pharmacology at the University of Michigan for 50 years, in that time he has worked on many research projects with various chemical compounds.
Curran, H.Valerie, and Lisa Monaghan. “In and out of the K-Hole: A Comparison of the Acute and Residual Effects of Ketamine in Frequent and Infrequent Ketamine Users.” Addiction, vol. 96, no. 5, May 2001, pp. 749–760. EBSCOhost, doi:10.1080/09652140020039116.
This article is a study of recreational ketamine users. It studies the user’s ability to perform cognitive task before and after taking ketamine. They use several different tasks which target different areas of the brain. I plan to use this in my research to show the effects ketamine on the brain when doing normal everyday tasks. I find this research to be reliable as it comes from Psychopharmacology Research Unit, Sub-department of Clinical Health Psychology, University College London, London, UK.
Kraus, Christoph, et al. “Administration of Ketamine for Unipolar and Bipolar Depression.” International Journal of Psychiatry in Clinical Practice, vol. 21, no. 1, Mar. 2017, pp. 2–12. EBSCOhost, doi:10.1080/13651501.2016.1254802.
This article is based on a clinical research study of the uses in ketamine to treat mild to severe depression. The research in the article contains a total of 19 clinical trials that all had positive results. I will be using this in my report to show the possible use of ketamine for treating depression which is considered a mental health disorder. This research was taken from the International Journal of Psychiatry in Clinical Practice, it was written by the people who conducted the clinical trials and is based directly on their findings.
Wang Chunmei, et al. “Brain damages in ketamine addicts as revealed by magnetic resonance imaging” Frontiers in Neuroanatomy, vol. 7, no. 23, 2013, pp. 1-6, doi:10.3389/fnana.2013.00023.
This article is based on a study of ketamine addicts in the range of 0.5 to 12 years of ketamine addiction at various dosage amounts. It focuses on brain imaging to study the users’ brain and how it has been affected by ketamine. I will use this in my research to show the negative effects ketamine has on the human brain. I find this to be a reliable source because it is research produced by the Brain Research Center, Institute of Chinese Medicine, The Chinese University of Hong Kong.